近日,亚洲色吧 肝胆胰外科三病区黄洁副主任医师团队的两个手术视频被《Asian Journal of Surgery》接收并刊登。这两个手术视频分别为一例腹腔镜后腹膜副神经节瘤切除和一例腹腔镜下肝尾状叶切除。这是我院肝胆胰外科三病区手术视频首次刊登于国际杂志,标志着我院肝胆胰外科手术视频进入国际舞台。

(视频1.完全腹腔镜下后腹膜副神经节瘤切除)

(后腹膜副神经节瘤术前三维重建结果)

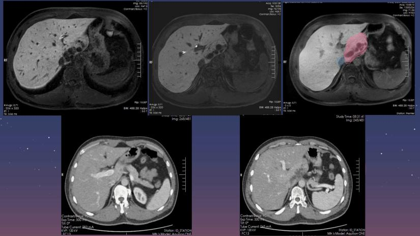
(视频2.腹腔镜下肝尾状叶切除)

(肝尾状叶术前影像学资料)
据悉,黄洁副主任医师团队另外2个手术视频(腹腔镜下肝门部胆管癌根治术和腹腔镜下中央型肝癌切除术)正在接受肿瘤外科临床杂志《Annals of Surgical Oncology》审稿。
手术视频被国际杂志刊登给黄洁副主任医师团队极大鼓舞,大家纷纷表示,尽管外科医生需要承担临床、科研、教学等多项工作,但是手术仍然是外科医生的立足之本。手术视频用于SCI论文投稿也是对自我医疗技术能力检验和升华的过程,在这个过程中,既能总结个人及团队手术经验与创新,也能展现自我技术与风采,可以作为外科医生临床手术和科学研究新的结合点。
不断精进医术,提升自身能力,将先进的手术经验、理念、创新推向全世界,更好造福广大患者,不仅是优秀外科医生的责任,也是从医之小者逐步走向医之大者的转化之路。相信以外科见长的亚洲色吧 附二院,一定会不断钻研创新,勇攀高峰,以自身努力持续为患者提供更好的服务。
文图:肝胆胰外科三病区 黄洁