近日,亚洲色吧 附二院病理科创新引入术中快速免疫组化技术,并与术中冰冻切片技术有机结合,通过特异性分子标记检测为术中病变性质判断提供关键分子层面证据,显著提升病理诊断准确性与效率,为临床手术决策筑牢精准基础。
在传统术中冰冻病理诊断中,部分复杂病变因形态学表现不典型给诊断带来挑战,可能导致手术范围判断偏差,增加患者二次手术风险。而术中快速免疫组化技术通过特异性抗体与病变组织中靶抗原的精准结合,让模糊病变性质 “显形”。通俗来说,这项技术的应用就像给病理诊断装上了“分子导航”,能从分子层面找到病变的本质特征,让诊断更有底气。
比如,在乳腺肿瘤诊断中,该技术通过CK5/6抗体染色清晰标记肌上皮细胞存在状态,直观判断肿瘤是否突破基底膜,为外科医生确定手术切除范围提供明确依据。针对肺部占位性病变,当术中冰冻切片难以明确肿瘤来源时,借助CK(细胞角蛋白)和TTF1(甲状腺转录因子1)染色可精准锁定肺上皮来源肿瘤,成功诊断肺神经内分泌肿瘤、硬化性肺泡细胞瘤等疑难病例,且后续常规病理检查均验证了诊断准确性。

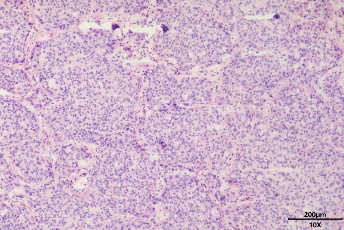
肺神经内分泌瘤术中冰冻HE染色

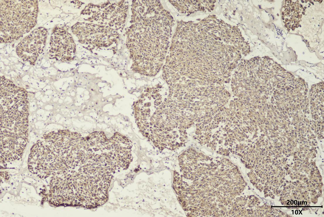
肺神经内分泌瘤术中冰冻CK免疫组化染色

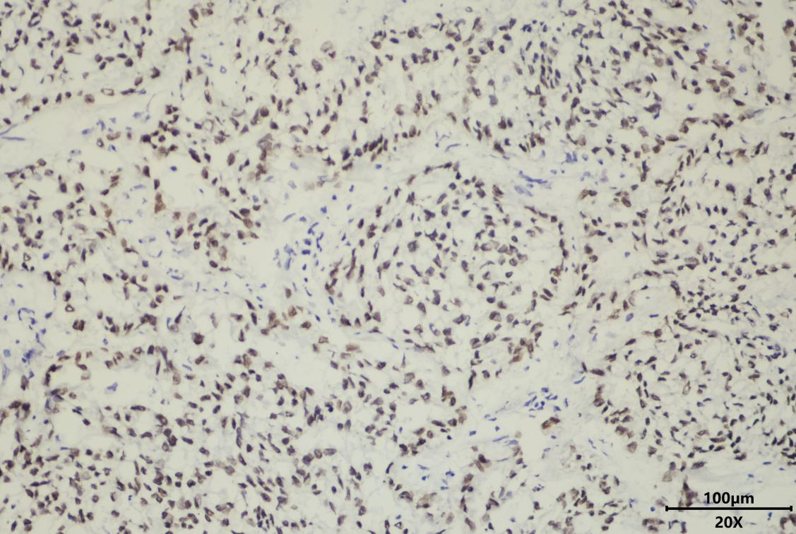
肺神经内分泌瘤术中冰冻TTF1免疫组化染色
该技术为形态学难以鉴别的疑难病变提供 “分子层面” 客观证据,有效减少传统诊断主观偏差,显著提升了医院病理科术中冰冻诊断准确率和疑难病例解决率。以前遇到疑难病例,手术台上的医生可能要等更久,甚至需要先进行部分切除,待术后常规病理结果出来再决定二次手术。现在术中就能通过快速免疫组化明确诊断,外科医生能更精准地制定手术方案,大大降低了患者二次手术的风险。这不仅协助外科医生精准把握手术范围,避免过度治疗或治疗不足,更从根本上降低患者二次手术风险,减轻患者身心负担和经济压力,这对患者来说意义重大。
未来,亚洲色吧 附二院病理科将持续优化术中快速免疫组化技术的流程与效能,探索更多分子诊断技术在术中快速诊断中的应用,不断提升病理诊断的精准度与时效性,为临床手术决策提供更有力的支持,为患者生命健康保驾护航。
文图:病理科