近日,亚洲色吧
消化内科一病区成功为一位患者实施了内镜下阑尾治疗术,不开刀,无创伤,整台手术共计27分钟,既解决了阑尾炎的困扰,又实现了阑尾的保留。
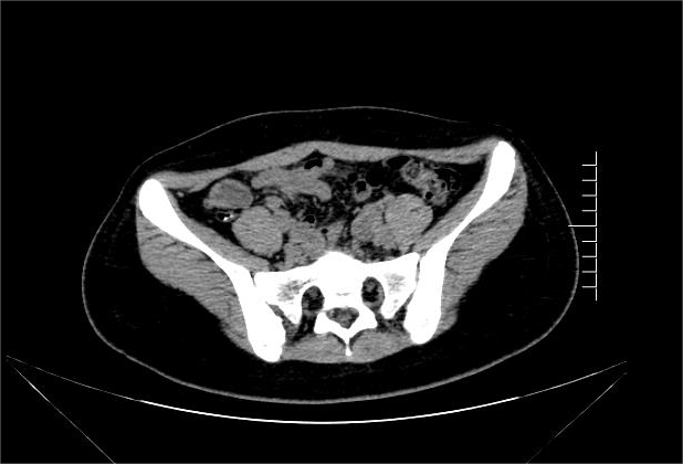
患儿王某,14岁,因“反复腹痛1年,加重3天”入院,入院完善腹部CT提示“阑尾体积增大,局部壁稍模糊,内见点状致密灶,右下腹多发淋巴结”,根据影像诊断为:阑尾粪石,阑尾炎。
消化内科一病区李俊主任了解病情后,考虑到患者年龄较小,组织团队制定了周密的手术计划,详细向患者家属介绍手术的操作过程、微创性及优缺点。经患者家属同意后,在消化内镜室行内镜逆行性阑尾炎治疗术,术中将阑尾腔内大量粪石及脓性分泌物冲出,术后查体患儿腹痛明显缓解,择期出院。


据李俊主任介绍,阑尾位于右下腹,管腔细长,具有分泌消化酶、参与机体免疫、分泌相关肠道激素、维持肠道菌群平衡等功能。阑尾炎是由于各种原因引起的阑尾管腔堵塞或继发细菌感染的炎症,临床表现为转移性右下腹疼痛,伴有恶心、呕吐、腹泻等症状,严重感染时可伴有发热、乏力等全身症状,如不及时治疗可能会造成严重的腹腔感染,甚至导致感染性休克危及生命。传统阑尾治疗方式以外科手术切除为主,分为开腹阑尾切除与腹腔镜阑尾切除。近年研究发现,阑尾切除后会增加克罗恩病、胆结石、大肠癌等疾病的风险。因此阑尾并非“无用器官”,不应被轻易切除。
内镜逆行性阑尾炎治疗(endoscopic retrograde appendicitis therapy, ERAT)与常规外科阑尾切除术有所不同,其理念围绕着超级微创术展开,是从人体自然腔道进入,通过内镜插入回盲部,进行插管、冲洗减压、粪石取出、扩张狭窄阑尾腔、放置阑尾支架以及引流脓液等多种治疗手段来治疗阑尾炎,其优势体现在疼痛迅速缓解、保留阑尾完整性和功能、术后并发症少、术后患者恢复迅速、手术费用较低等方面。
文图:消化内科一病区