亚洲色吧 肿瘤中心,前身是1999年成立的云南省伽玛刀治疗中心,是云南省最早使用伽玛刀精确放疗技术治疗肿瘤的单位。经过20多年的发展,目前已安装医用头部伽马刀、新一代INFINITY直线加速器,是以医疗、教学、科研为主导的放化疗、分子靶向及免疫治疗为一体的肿瘤综合治疗中心。目前在编床位67张,开放床位110张,此外还有日间化疗病房,年均门诊量7000余人次,年出院病人5000余人次。已开展γ射线立体定向放射治疗1.2万余例、直线加速器调强放射治疗1800余例,其中基于大孔径模拟定位CT开展的呼吸门控或4D-CT的SBRT精准放疗技术有200余例。科室已建成以医疗、教学、科研为主导的放疗、化疗、日间化疗、生物靶向、免疫治疗等为一体的肿瘤综合专科病房。专科服务能力居全省前列。
为充分发挥特色专科优势,加强广大群众对肿瘤治疗方式的认识,本期“抗癌之星云课堂”,由肿瘤科罗富源放疗物理师分享呼吸门控放射治疗技术(ABC)治疗基本知识和方法,希望对大家有所帮助。
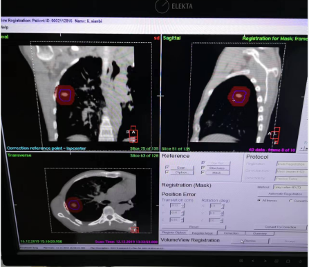
呼吸门控放射治疗技术(Active Breathing Control,ABC)是肿瘤精准放射治疗技术之一,是通过呼吸门控设备跟踪患者的呼吸频率,精确定位目标,减少呼吸运动让肿瘤处于冻结即“睡着”状态时进行照射打击。在肿瘤精准治疗的新时代,亚洲色吧 附二院肿瘤中心始终致力于通过更规范、更专业、更精准的诊治技术,为肿瘤患者带来更优的医疗服务和更佳的治疗效果。
一、什么是放射治疗?
肿瘤放射治疗(简称放疗)就是利用放射线治疗肿瘤,利用聚焦、高能的放射线破坏肿瘤细胞的DNA,使其失去再生能力从而杀伤肿瘤细胞,提高肿瘤患者治愈率或生存期。

二、什么是呼吸门控放射治疗(ABC)?

放射治疗可以破坏或消灭肿瘤细胞,但放疗在抑制或杀伤肿瘤细胞的同时,对机体的正常细胞也存在毒害作用,使机体免疫力下降。呼吸门控技术是指在治疗过程中,采用某种方法监测患者呼吸,在特定呼吸时相触发射线出束照射。该类技术优势在于减少靶区的运动范围,不管是吸气还是屏气,都只在1个呼吸周期中的某个时段实施照射。同时通过深吸气屏气或者呼吸屏气也有利于将正常组织拉开与靶区的距离,实现更好的剂量优势。因此,呼吸门控放射治疗技术(ABC)的应用既能精确打击肿瘤病灶巩固放疗的效果,又能减少放疗的毒副作用。
三、应用呼吸门控技术是怎么工作的呢?
放疗会因为呼吸和胃肠蠕动而发生位移,在治疗时容易“失了准头”,医生在设定治疗方案时不得不扩大治疗范围;还有一些器官本身对放射性的耐受性比较差,有可能肿瘤细胞没有杀死,而组织就承受不了了。一旦肿瘤进入“进攻区域”,放射线就拼命扫射,而进入“进攻区域”的是正常组织,放射线就“温柔相待”,收起锋芒“躲”起来,最大限度地保护了患者的正常组织,避免伤及无辜。

四、什么样的患者适合用呼吸门控放射治疗?
呼吸门控放射治疗技术主要适用于呼吸运动对肿瘤位置影响较大的病人,但并非所有患者都适用,医生们会严格掌握适应症在前期给患者制定详细的方案。
1.肺部肿瘤及肺转移病灶孤立性或小于3个以内,肿瘤小于5cm的SBRT(X刀)放射治疗。目的是缩短治疗流程、有效提高恶性肿瘤的局部治愈率,同时明显降低放疗并发症,减小肺纤维化副反应。

2.肝脏肿瘤及肝转移病灶,孤立性或小于3个以内,肿瘤小于5cm的SBRT(X刀)放射治疗SBRT放射治疗。目的是缩短治疗流程、提高肿瘤靶区剂量、增加治疗疗效,降低放射性肝损伤及胃肠副反应。

五、如何进行呼吸门控放射治疗?

1. 挑选适应症适合且呼吸功能正常、屏气时间较长,耐受佳的患者,后进行呼吸训练,记录患者的最大吸气阈值与屏气时长,阈值一般设为最大值的60%-70%左右。
2. 训练完毕后进入CT模拟定位环节,CT扫描在患者屏气状态下进行(最好能在一次屏气期间扫描完毕)。
3. 将CT扫描得到的图像导入治疗计划系统,由医生勾画靶区及确定放射治疗方案。物理师制作放射治疗计划后经医师审核批准后传至治疗服务器待用。
4. 加速器上治疗时,确保患者体位和ABC的连接方式与扫描CT时一致。患者一只手握住门控开关,戴一副折射眼镜(患者在治疗时可以同步看到电脑系统的提示内容),在达到当时训练时设置的吸气阈值时开始屏气,加速器出束前先进行影像验证(CBCT)确保体位的准确性。
5. 在治疗时,先吸气至阈值后治疗师操作加速器开始出束,一个野治疗完毕后,患者恢复呼吸,准备第二次屏气治疗,周而复始,直到治疗结束(患者屏气无法坚持到一个野出束完毕,可以自行松开手中阀门,加速器连锁会停止出束)。
6. 在此过程中患者的配合尤为重要,如果患者配合不佳可能就无法采用此治疗技术,而配合较好的患者采用此技术的疗效会比普通治疗技术更佳。
六、呼吸门控放射治疗疗程要多久?在哪就诊或复查?
呼吸门控(ABC)引导的立体定向放射治疗(SBRT)一般治疗次数为5-8次。相对普通放射治疗25-30次/5-6周,总治疗时间大大缩短、治疗效果显著提高,副反应及治疗总费用减少,给部分有适应症的肿瘤患者提供了有效的治疗手段,治疗结束后需3个月进行复查。
6号楼负一楼肿瘤科门诊,每周一到周五全天,周六早上均开诊。
科普专家

罗富源,本科,亚洲色吧 附二院肿瘤科放疗物理师。云南省医师协会肿瘤放射治疗分会委员、云南省医师协会临床精准医疗专业委员会委员、云南省抗癌协会肿瘤放射治疗分会委员、云南省抗癌协会临床肿瘤学协作专业委员会委员、云南省抗癌协会放疗分会物理学组副组长、云南省RTUP精确放疗组员、四川省医促会精确放射治疗专委会委员、云南省生态环境厅评估中心《核技术与X线装置利用项目》环境评估专家组成员,参加评审云南省多个DSA、核医学科、直线加速器、PET-CT、伽玛刀、后装治疗机等环境影响评价及项目验收。从事LA和γ刀肿瘤放疗物理师18年。
擅长:各类肿瘤放射治疗计划设计和放疗剂量计算;直线加速器、伽玛刀、X线及CT模拟定位机等设备质量控制(QA)和性能检测。
科普专家:肿瘤科 罗富源